February 2016
News, Hot Topics, & Press Releases
President Jay A. Perman, MD, Wins National Diversity Award
February 29, 2016
University of Maryland, Baltimore's President is Honored with INSIGHT Into Diversity’s
2016 Giving Back Award
Perman Wins National Honor for Leadership in Diversity
February 29, 2016
INSIGHT Into Diversity magazine selects University of Maryland, Baltimore President for 'Giving Back' Award
Sun Weighes In On UMB-UMCP Strategic Partnership Bill
February 28, 2016
Paper praises UMB engagement in West Baltimore and success of MPowering Maryland.
Capturing UMB’s Virtual Legacy
February 26, 2016
HS/HSL Digital Archive preserves contemporaneous materials, many of which are born digital
Maryland Proton Treatment Center Treats 1st Patients
February 24, 2016
The Maryland Proton Treatment Center has treated its first patients at its facility in the University of Maryland BioPark.
Sharing The Day With Chancellor Robert Caret
February 22, 2016
UMB hosts USM Chancellor Robert Caret for a day of sharing and listening.
SOP Competition Highlights Student Innovation
February 19, 2016
School of Pharmacy students competed in the 2016 America's Got Regulatory Science Talent competition earlier this month.
MERS Study Results Show Promise for Treatment
February 19, 2016
Approach Uses Genetically Modified Cows to Manufacture MERS-fighting Antibodies
Addressing Baltimore's Glaring 'Health Gap'
February 17, 2016
UMB President Perman comments about disparities in a national report that depicts President's Clinic, the CURE Scholars program as among solutions
'Bolder' Together Under MPower
February 16, 2016
MPower enables tackling the biggest challenges in human health.
Liability, Succession, and Finding Farm’s Full Potential
February 12, 2016
University of Maryland Ag Law Experts Present at the 15th Annual Mid-Atlantic Women in Ag Conference.
Cybersecurity Symposium Covers Law and Policy
February 12, 2016
The Center for Health and Homeland Security held a cybersecurity symposium at which speakers addressed law and policy in the field.
UMB Supports Governor’s Higher Education Budget
February 12, 2016
UMB president shares plans for interprofessional care in Prince George’s County, touts community engagement, economic revitalization in West Baltimore.
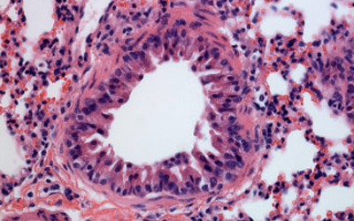
SOM Researchers ID Most Dangerous Bacteria
February 9, 2016
New approach could lead To fewer deaths, and new treatments.
SSW Helps W. Baltimore Youth Find Ways to Heal City
February 8, 2016
The School of Social Work-led Promise Heights initiative surveys youth; helps seek their ideas to prevent violence.
MLK Event Spans the Generations
February 5, 2016
Limitless range of young voices, sage wisdom of experience combined to delight at the UMB Dr. Martin Luther King Jr./Black History Month event.
MLK Jr. Event Features Jurist, Awards for Diversity Efforts
February 3, 2016
Annual Diversity Event Honors UMB Faculty, Staff, Students
Search UMB News
There are no reported emergencies on campus at this time.
Sign up for UMB Alerts.
Sign up for UMB Alerts.